Copyright © 2010 Hawaii Ear Clinic, Inc. All Rights Reserved.
Home           Kevin Hadley, MD           Locations           Contact Us
Laser stapes with prosthesis
Cochlear implant electrode
Malleus to oval window
Glomus tympanicum
Carcinoma ear canal
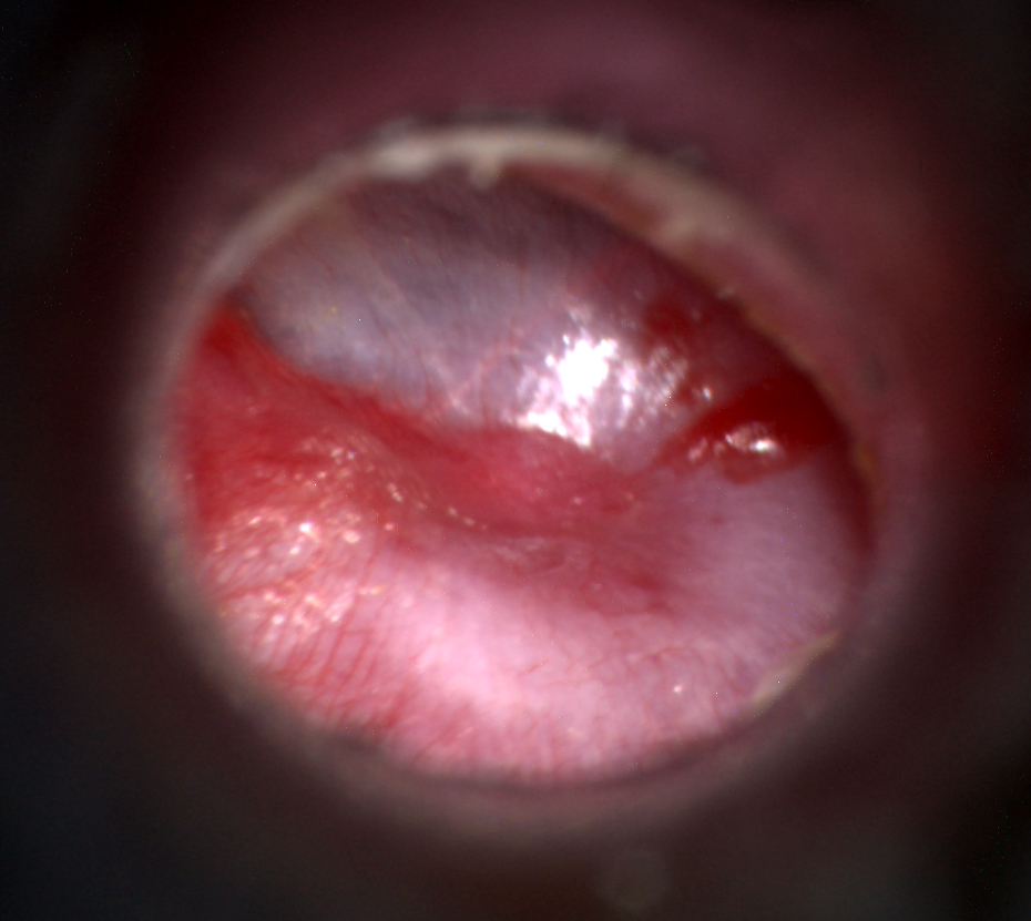
Cholesteatoma